Dr. Jacqueline West is proud to serve as a cosmetic dentist in Jacksonville, FL. She’s also happy to improve the smiles of patients in nearby Riverside, Avondale, and Ortega. Whether you’re interested in our cosmetic dental services or restorative care, you can trust Dr. West to help you smile with confidence again.



Michaels teeth were worn and too short due to years of grinding. He wanted a whiter, brighter smile with larger teeth! We placed 8 crowns to fix his smile.



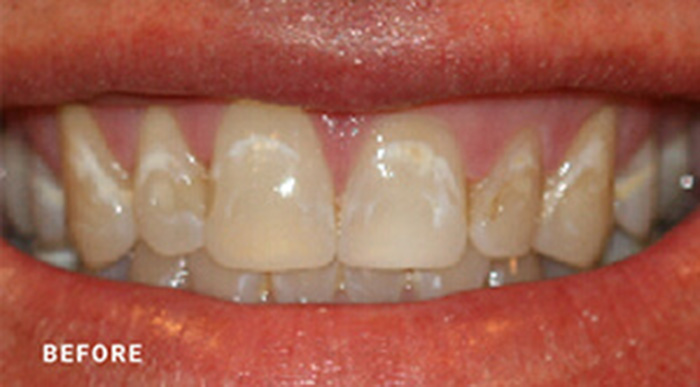
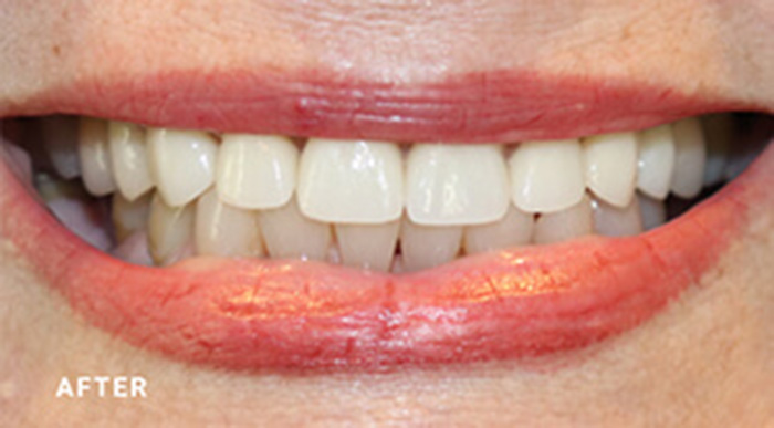
Nicole wanted to fix her discolored teeth and old stained bondings. We placed 8 white porcelain crowns and she loves them!



Brance wanted to close the gap in his smile. Dr West completed 4 custom porcelain crowns. He now smiles with confidence!



Debra wanted to show more teeth when she smiled and wanted a younger look. We placed 7 porcelain crowns and 1 implant crown to change her look!



Laura had a single veneer on her front tooth that did not match her natural teeth at all. Dr. West gave her four custom porcelain crowns. She was absolutely beaming with confidence on her wedding day.



Dale had large bondings placed on his teeth to close a gap which made his front teeth look too large. Dr. West removed the old bondings and closed the space with clear aligners. Dale is happier than ever to show off his bright smile.



Amy had large bondings on her front teeth that were often stained. Four custom porcelain crowns now look more natural than her real teeth. Amy also has a high lip line. Botox was used to soften her look. The results still blow us away.



Eric presented with damage and staining from his braces as a kid. His new Hollywood smile was created with 10 upper custom porcelain crowns.



Pat has one of our favorite transformations! Her chipped, spaced, and dark-colored teeth didn’t match her outgoing personality. With her new 10 upper and 10 lower custom porcelain crowns, she beams confidence.



Bunnie didn’t like the shape or discoloration of her teeth when smiling. Dr. West placed four custom porcelain crowns on the upper teeth to bring back a more youthful look.



Madison suffered a lifetime of migraines caused by grinding his teeth. This amazing smile makeover was a combination of 28 porcelain crowns with some implant crowns. Madison is experiencing a whole new life and is proud to share his smile for the first time in many years.



Vicki came to us with dark, misaligned teeth with chipping. She now smiles bigger than ever with 10 upper and 10 lower custom porcelain crowns.



Hannah was displeased with the size and shape of her teeth. The four new custom porcelain crowns are natural and complementary to her smile.



Ted had a broken tooth in the front. Rather than just patching the tooth, he decided to enhance his smile with whitening and four custom porcelain crowns.


Cheryl’s teeth were starting to chip on the edges and darken. She also had a few dark-colored crowns. Cheryl opted for full upper and lower custom porcelain crowns. She will never have to worry about whitening again.


Robin’s teeth were breaking down and dark. His wife is thrilled with his new look. Eight custom porcelain crowns and two dental implants made him look years younger!


Pam presented with a few cavities and wanted an overall better smile. To achieve this, Dr. West repaired the gum line cavities and perfected her smile with six custom porcelain crowns.


Rebecca came to us unhappy with the shape and position of her teeth. Her six new now match her amazing smile.


Denise lived with a small gap between her front teeth. Dr. West recommended putting her in . Her smile now beams with confidence!